The presence of beriberi in humans is always accompanied by a variety of symptoms. Deficiency of each vitamin has its own specific manifestations. Only severe stages of beriberi disturb the patient and force him to consult a doctor. In the early stages of the development of vitamin deficiency, it is possible to identify it using laboratory research methods, as well as during an objective examination of the patient. The appearance, condition of the skin, nails, gums, and hair, emotions and behavior of a person may indicate beriberi. But, in addition, signs and symptoms of beriberi are detected during examination of the fundus. How are eye tissues affected in beriberi?
Eye lesions due to vitamin deficiency. Symptoms of avitaminosis
In children, endogenous vitamin deficiencies are more common against the background of pathologies of the gastrointestinal tract and liver. In the liver, important processes take place in relation to the assimilation of vitamins - absorption, synthesis, phosphorylation and deposition. These reactions occur with the participation of vitamin-containing enzymes, which are inactivated by sulfanilamide drugs and antibiotics. Therefore, long-term use of antibacterial drugs is a predisposing factor in the development of symptoms of beriberi even in the absence of pathologies of the gastrointestinal tract and with a stable intake of vitamins from food.
Ocular symptoms of beriberi:
- Manifestations of symptoms of beriberi B1 consist of axial retrobulbar neuritis and neurodystrophic keratitis. Keratitis is accompanied by discoid opacities and circular abscesses of the cornea. External ophthalmoplegia is noted.
- Avitaminosis B2 provokes the development of flectenular keratoconjunctivitis and degenerative changes in the corneal epithelium.
- In avitaminosis B6 and B12, the corneal epithelium undergoes dystrophic changes and desquams.
- Avitaminosis C is characterized by the presence of hemorrhages in the retina and under the conjunctiva due to increased fragility of the vascular wall. Sudden exophthalmos and displacement of the eyeball may be caused by hemorrhage into the retrobulbar retina.
- Symptoms of beriberi D are characterized by deformation of the bones of the skull, which contributes to a decrease in the volume of the orbit and the development of exophthalmos.
- Avitaminosis E provokes the development of degenerative changes in the retina, lens and cornea. Characterized by keratoconus.
Symptoms of beriberi A. Eye changes due to vitamin A deficiency
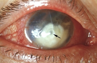
Avitaminosis A is characterized by epithelial xerosis and keratomalacia. Vitamin A deficiency is manifested by systemic metaplasia and desquamation of the epithelium of the mucous membranes. At the same time, the conjunctiva loses its luster, triangular areas appear on the limbus, which look like dried foam and are called Iskersky-Bito plaques.
Symptoms of beriberi A include clouding and decreased sensitivity of the cornea. In debilitated young children, keratomalacia is often detected, the cornea acquires a gray-white color. In the future, the collapse of the cornea, its perforation and prolapse of the membranes of the eye are possible. The main symptom of beriberi A is hemiralopia (night blindness).

Vitamins are extremely important for the normal functioning of the visual apparatus. Therefore, the patient should be aware of the importance of eating natural products of plant and animal origin, especially those containing vitamin A. If the patient has symptoms of beriberi, he should undergo examinations of the gastrointestinal tract.

Add a comment