Teeth for a person are an important part of his appearance. Therefore, everyone strives to have as beautiful teeth as possible. The beauty of teeth and smiles in general largely depends on the color of the teeth. This characteristic of the teeth is influenced by many factors, including a disease that manifests itself in spots on the teeth, which greatly spoils their appearance. This is fluorosis. Read the causes and treatment of fluorosis in our article.
Stains on teeth. Causes of stains on teeth
The first cases of fluorosis were identified and described as early as the end of the 19th century. Then the cause was not established, the disease was called "spotted enamel". Later, the reason for the development of stains on the teeth was established, which consisted in an increased content of fluoride in the water.
Fluorine is an important trace element for the body and is needed for the normal development of physiological processes. Fluoride is found in tooth enamel and bone tissue. The body replenishes fluoride from water and food. When entering the body, fluorine is absorbed in very small quantities. The main part comes in the form of dissolved fluorides in water.
In water, the concentration of fluorine should be 1 mg/l. When the fluorine content in water is more than 1.5 mg / l, fluorosis develops. There are cases of the appearance of stains on the teeth in the form of an occupational disease in aluminum industry workers who inhale an increased concentration of fluorine in the air. With insufficient intake of fluorine, this contributes to the development of dental caries.
During pregnancy, excess fluoride in the water does not spread to the fetus, as the placenta retains its excess amount. Therefore, children never have stains on their milk teeth.
But when permanent teeth erupt in a person who lived and lives in an endemic area with a high content of fluoride in water, already damaged teeth may appear.
Classification of manifestations of fluorosis. Forms of fluorosis
According to clinical manifestations, 5 main forms of fluorosis are distinguished: spotted, dashed, chalky – mottled, erosive and destructive. It happens that in the same patient different teeth are affected by different forms of fluorosis. Once one form arises, it never transforms into another.
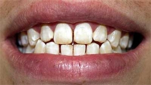
Endemic fluorosis affects the surface of the teeth from the side of the cheeks and is manifested by spots or stripes of white. After a few years from the start of the process, these bands turn yellow or brown. The incisors of the upper jaw are often affected. There may be erosions and chips on the tooth enamel.
The main methods of treatment of fluorosis. Fluorosis Prevention
If signs of fluorosis are detected on the teeth, the patient is advised to pass the consumed water for the content of fluorine in it. If an increased concentration is detected, it is necessary to change the source of water or purify the water. Such patients should not use fluoride toothpaste.

Removal of the affected areas of the tooth and further filling is not used, since such fillings often fall out and the tooth is further destroyed. Patients with identified fluorosis are prescribed calcium and phosphorus preparations.
If the patient has mild fluorosis, laser or LED teeth whitening is suggested. After this procedure, the tooth is remineralized, which consists in applying calcium and phosphorus compounds to the enamel by application. This also applies to ultraphonophoresis and electrophoresis. Fluorosis treatment will require at least 10 remineralization treatments.
In severe form of fluorosis (chalky mottled and erosive form), teeth whitening is ineffective. Therefore, restoration of teeth using lumineers or veneers is used. In case of ineffectiveness, treatment by an orthopedist and the installation of a metal-ceramic crown are indicated.
In order to prevent fluorosis, it is necessary to purify water in endemic areas and reduce fluoride intake in every possible way by refusing toothpastes containing fluoride, limiting intake with food (fish, butter). In the prevention of fluorosis in children, a balanced diet with vitamins and dairy products is important.

Add a comment