Veneering has gained immense popularity in recent years. And this is not surprising: now you can quickly and painlessly get rid of most dental defects. Since the installation of veneers – relatively new procedure, there are many myths about it. In this article, we will debunk 7 myths about veneers that everyone has probably heard. For example, about the fact that wearing veneers is very painful and much more. More information about modern dentistry and other branches of medicine can be found on the website estet-portal.com.
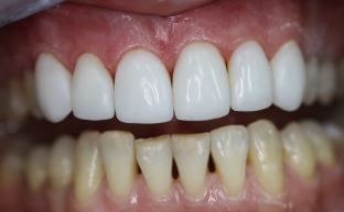
Myth #1: Veneers are easy to distinguish from natural teeth
Veneers were invented by the American dentist Charles Pincus in the 1930s. The first overlays were much thicker than modern ones and really looked unnatural. In fairness, we note that the first copies coped with their task perfectly well, because they were intended exclusively for wearing during the filming of films. Snow-white overlays hid all defects and created the legendary "Hollywood smile".
The thickness of modern veneers rarely exceeds 0.5 mm. In addition, linings are installed on turned teeth. Thanks to this feature, they fit as tightly as possible and look natural.
The palette of shades of the plates is very diverse. A wide range of colors allows you to choose a shade as close to natural as possible and make onlays that will be indistinguishable from real teeth.
Myth #2: Veneers – just a decoration, a fad for the rich
Of course, they help to hide visible defects of the teeth (cracks, chips, fillings), but their functions are not only that. First of all, they protect teeth, strengthen them and restore lost functionality.
Porcelain veneers allow:
- correct the shape of the teeth;
- change bite;
- get rid of diastemas and tremas (large gaps between teeth).
In addition, veneers significantly reduce sensitivity and protect teeth from caries and various mechanical damage. It follows from this that ceramic onlays not only decorate the oral cavity, but also strengthen the teeth, making them more durable.
Myth #3: Veneers are attached on both sides
The myth that veneers are placed on both sides of the teeth has arisen because many people confuse ceramic plates and crowns. Indeed, until recently, the most common method of restoration was the installation of dental crowns – micro prostheses, which are most often installed on both sides of the tooth. To install the crown, turning was carried out on both sides, and the nerve was removed. After removing the prosthesis, the tooth completely lost its functionality.
Veneers are a safer alternative to crowns. Placement of the plates requires the removal of a very thin layer of enamel on one side only. Thanks to this technology, the tooth can still perform its functions after the removal of the veneer.
It should be noted that in some cases veneers cannot replace crowns. More than 50% decayed teeth, as well as posterior teeth, can only be restored with dentures.

Myth #4: Installing and wearing veneers is very painful
Despite the fact that the days when dental procedures were really painful are long gone, many people still associate going to the dentist with pain. In fact, the vast majority of procedures today are performed under local anesthesia.
Tooth grinding is an unpleasant procedure, but it cannot be called painful. Moreover, almost all dentists remove enamel under local anesthesia.
Subsequent installation of veneers – completely painless procedure. Neither the nerve nor the soft tissues are affected during the work, so the patient does not experience any sensations.
So, the procedure is absolutely painless. The pads do not interfere in the mouth and do not come into contact with soft tissues. Naturally, at first the patient may experience unusual sensations, but they disappear already on the second day after installation.
Myth #5: Veneers – it is harmful and it is better to do without them
It is not uncommon to come across the assertion that veneers ruin teeth. However, this myth is absolutely groundless, because:
- They are made of ceramic, composite or zirconium. These materials are environmentally friendly and do not harm the oral cavity.
- Before installation, the enamel is grinded to a minimum, so that the tooth practically does not suffer. In addition, some types of onlays (for example, lumineers) do not require enamel removal at all.
- The veneer does not require nerve removal, allowing the tooth to remain alive.
- The overlays perform protective functions, preventing the development of caries and taking on mechanical damage.
- The veneer technology allows you to fully preserve the condition of your teeth throughout the entire period of use.
Myth #6: Veneers are for all teeth
It is difficult to explain what is behind the statement that veneers can only be installed on all teeth, but this myth has gained immense popularity. In fact, they are basically impossible to put on all teeth. There are two reasons for this:
- Chewables are not included in the "smile zone", and therefore it makes no sense to improve their aesthetic qualities.
- The plates are not suitable for posterior teeth as they will not be able to support the load.
For the above reasons, veneers are placed exclusively on the front teeth. The number of onlays depends on the condition of the teeth: in some cases, the patient can even get by with one veneer.
Myth #7: Become the owner of a flawless smile – it's very expensive
Certainly, the installation of veneers cannot be called a cheap procedure. However, do not forget that the service life of such overlays is on average 10-15 years. During this time, the teeth will be completely protected from negative influences. Thus, the cost of veneer will more than pay for itself.
As you can see, veneers are far from being as scary and harmful as the 7 most common myths about veneers in society tell about them. Choose a clinic that you trust, follow all the rules of care, and they will serve you for a very long time. If you are interested in details about other medical procedures and diseases, you can find all the answers on estet-portal.com.
Add a comment