Gardnerellosis urogenitalis is one of the common diseases of the urogenital system, which is often diagnosed in association with other pathogenic microorganisms.
Gardnerellosis etiology
The causative agent of gardnerellosis is Gardnerella vaginalis, which was first isolated by Gardner and Duxon in 1955 in women with vaginitis.
Vaginal gardnerella is a non-encapsulated immobile gram-negative rod up to 2 µm long and 0.7 to 0.9 µm in diameter. On ultrathin sections, microorganisms resemble coca or small rods with a thin cell wall and a microcapsular layer.
Epidemiology of gardnerellosis
The main route of transmission is sexual. It is also possible to transmit to a newborn when it passes through the birth canal of the mother, as well as during intrauterine infection of the fetus.
Pathogeny of gardnerellosis
All types of the genitourinary sphere, both in men and women, can be involved in the pathological process. Possible development of severe inflammatory processes in newborns, as well as postpartum complications.
Gardnerellosis Clinic
The incubation period of the disease averages 7-10 days, but can vary from 3 to 5 weeks. In men, urethritis, prostatitis occurs, in women - vaginitis, endocervicitis.
Clinical picture of gardnerellosis in men
Urethritis and epididymitis often occur.
Urethritis is characterized by a torpid course. For the most part, subjective sensations are absent. An objective examination reveals scanty white serous-mucous discharge from the urethra.
Features of epidymitis: sudden onset with further torpid course. Minor disorders of the general condition are observed: mild malaise, subfebrile body temperature, pain syndrome.
Clinical picture of gardnerellosis in women
The clinical presentation of vaginitis does not differ from bacterial vaginitis.
In acute course, the patient notes discomfort in the genital area, itching, burning of the vulva, discharge from the vagina. Objectively observed hyperemia of the mucous membrane of the vulva, vagina, thick abundant turbid discharge with a "fishy" smell that accumulates in the posterior fornix of the vagina or covers the cervix with a film. The lips of the urethra are hyperemic, swollen.
With a torpid flow in the area of the external genital organs, there is a short-term itching, there are scanty periodic discharges from the vagina or urethra.
In typical cases, the discharge is slight, grayish-white, watery, and an unpleasant "fishy" odor is felt as a result of the breakdown of amines, which is produced by anaerobic bacteria that actively multiply in gardnerella vaginitis.

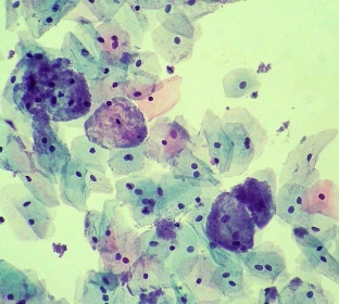
Diagnosis of gardnerellosis
Diagnosis should be based on the following criteria:
- Presence of key cells (vaginal epithelial cells covered with small gram-variable rods).
- An additional sign is a low content of leukocytes in the research material.
- Positive test with 10% KOH solution.
Treatment of gardnerellosis
General therapy includes:
- Tetracycline drugs.
- Semi-synthetic tetracyclines.
- Macrolide.
- Fluoroquinolones.
- Preparations of the 5-nitroimidazole group.
- Ornidazole group drugs.
Topical treatment
Provides for the use of vaginal tablets, capsules, as well as creams containing antibiotics and vaginal irrigations with a 1% dilution of hydrogen peroxide.
Add a comment