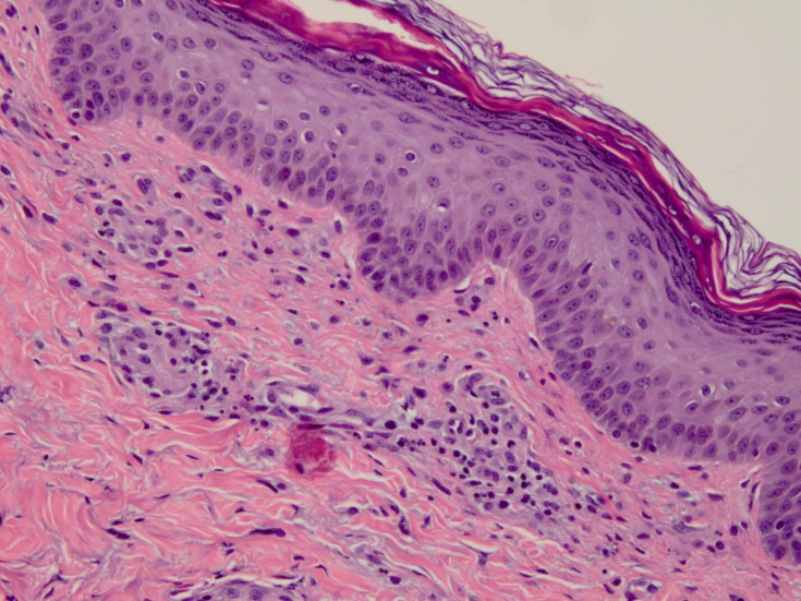
Skin vasculitis occupy a significant place in clinical dermatology in terms of frequency of occurrence and variety of symptoms. These are dermatoses, which are based on non-specific inflammatory process in the walls of dermal and hypodermal blood vessels, having different sizes.
Vasculitis is extremely polymorphic in clinical manifestations. However, there are a number of symptoms of vasculitis that are inherent in each morphological type. Read more on estet-portal.com about the symptoms of vasculitis.
- What are the common symptoms of vasculitis inherent in all types of the disease
- The main types of polymorphic dermal vasculitis. Symptoms of vasculitis of different types What are the common symptoms of vasculitis inherent in all types of the disease Vasculitis is manifested by a different set of symptoms, depending on the morphological type. There are a number of common symptoms of vasculitis:
susceptibility of rash elements to necrosis, hemorrhage and edema;
evolutionary
polymorphism of rash elements;
- skin changes are inflammatory;
- associated autoimmune, rheumatic, allergic, vascular and other systemic pathologies;
- lesions are symmetrical; the disease is often associated with drug intolerance or past infection; elements of the rash are predominantly and primarily located on the lower extremities, more often on the shins;
- acute course or with periodic exacerbations.
- Polymorphic dermal vasculitis
- has a chronic course with relapses. Initially, the elements of the rash appear on the shins. General clinical symptoms of vasculitis
- :
headache; weakness;
pain in the joints; fever.
-
Read also:
- Systemic vasculitis in the practice of a dermatocosmetologist
Elements of the rash of polymorphic dermal vasculitis: papulinecrotic rashes; pustules;
bubbles; erosion;
- ulcers;
- scars;
- superficial necrosis;
- nodules and plaques of an inflammatory nature;
- blisters;
- hemorrhagic spots;
- The rash persists for a long time
- , up to several months, periodically relapses
- ruya.
- The main types of polymorphic dermal vasculitis. Symptoms of different types of vasculitis
several types of polymorphic dermal vasculitis. 1. Urticarial type
. Symptoms of this type of vasculitis are similar toblisters of different sizes on different parts of the skin, but here they are persistent and last up to 3 days. Patients feel a burning sensation or irritation on the skin, there are signs of a systemic lesion.
2. Hemorrhagic type. The most common type. Symptoms of vasculitis are manifested by the presence of edematous hemorrhagic spots of various sizes, which are localized on the legs and back of the feet. Further, hemorrhagic blisters can form, leaving ulcers and erosion after opening. There are edemas of the lower extremities. It is possible to develop a hemorrhagic rash on the pharynx and in the oral cavity after infectious diseases, more often after tonsillitis, accompanied by systemic disorders. Then there is a clinical picture of anaphylactoid purpura of Schonlein-Genoch with abdominal pain and bloody stools, fever and arthralgia. This purpura is more common in children. 3. Papulonecrotic type
. Symptoms of this type of vasculitis are manifested by the formation of hemispherical or flat nodules, in the center of which a dry necrotic scab forms. Removal of the scab leavessores and scars. The elements of the rash are located on the extensor surfaces of the limbs and resemble papulonecrotic tuberculosis, with which it is important to make a differential diagnosis.
4. Papulonodular type

6. Polymorphic type. The symptoms of this vasculitis combine the presence of various eruptive elements inherent in other types of dermal vasculitis. Inflammatory edematous spots, hemorrhagic rashes and small superficial nodules are combined, which is typical for the clinical manifestation of the three-symptomatic Gougerot-Duperre syndrome.
A separate group of vasculitis includes livedo-angiitis, which is a dermo-hypodermal vasculitis and manifests itself exclusively in girls during puberty.
Vasculitis symptoms consist of persistentlivedo – blue spots of varying diameters that form a network on the lower extremities. The color of the spots intensifies with hypothermia. Over time, the intensity of the symptoms of vasculitis becomes more pronounced. The elements of the rash can transform into painful ulcers, leaving behind scars.
Read more at Fa
cebookouTube
Add a comment