Professional cosmetics that can reach the dermal layers… Hardware technology that works without pain and unpleasant side effects… Injectables that do wonders for the patient… Biosynthesized molecules that hydrolyze the skin, reduce wrinkles, increase lost volumes...
Bioactive peptides, amino acids, hyaluronic acid… Is it possible to surprise a specialist in aesthetic medicine today? It turns out yes. Surprises are presented by chemical peels, the properties of which have not yet been fully studied.
Daniil Kashik, a dermatovenereologist, a leading expert on PRX-T33 therapy, shared his impressions about the possibilities of PRX-T33 peeling with readers of estet-portal.com.
Types of chemical peels and purposes of their application
One of the most demanded procedures in the work of a modern specialist in aesthetic medicine – acid care, also known as peeling Ease of use, relative short duration of the procedure and, most importantly, amazing rejuvenating results have always been the reasons for choosing peels.
Acids of various concentrations used in peels are effective not only for rejuvenation, reducing hyperpigmentation and improving skin texture, but also in the complex treatment of acne, melasma and rosacea. By the way, in the late 1990s, peeling was so popular that it was considered the most popular procedure in the United States.
Depending on the depth of exposure, there are several types of chemical peels: superficial, medium and deep.
• Superficial: causes necrosis of all layers of the epidermis from granular to basal.
• Medium: Causes necrosis of all layers of the epidermis and partially of the papillary dermis.
• Deep: necrosis involves the reticular layer of the dermis.

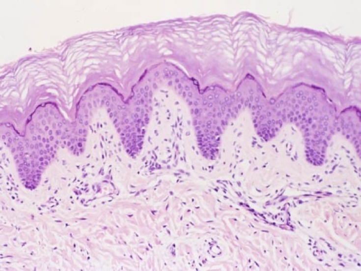
The most popular acid treatment today is superficial peeling. This is due to the relative safety and simplicity of the procedure, while obtaining fairly good results. However, in my opinion, to achieve the optimal result, the acid should bring the dermis into a state of stress. After all, it is in the papillary layer of the dermis that there is a greater accumulation of cellular elements, such as fibroblasts, as well as a greater density of vascular elements.
Histological image of the papillary dermis
This suggests that by using the median concentration of acid and reaching the papillary dermis, we will be able to start the process of regeneration and synthesis of growth factors faster and, as a result, achieve an improvement in the appearance of the skin.
Optimum choice of acids for effective chemical peeling
When we talk about the median concentration of acids, we mean a specific percentage. To reach the papillary dermis and start skin renewal processes, the acid concentration must be at least 30%. The type of acid is also important. After trying all kinds of acids, I came to the conclusion that the most effective and safest molecule is trichloroacetic acid (TCA).
And there are a number of reasons for this:
• trichloroacetic acid has been used as a peel since 1926 and has been studied in all aspects, which indicates a huge evidence base;
• TCA molecule is one of the most stable and does not easily form reactive free electrons;
• trichloroacetic acid does not show photoactivity, and this is a huge plus in terms of its use during active insolation.
• TCA is characterized by a powerful bactericidal action.
From this we can conclude that the most effective acid treatment is peeling with 30-35% trichloroacetic acid.
Of course, by applying such a concentration on the patient's face, you will instantly get a caustic effect and, as a result, such a common phenomenon as "frost" - a white film of denatured protein structures of epidermal cells.
There are many opinions about "frost". Some say that without it it is impossible to achieve a rejuvenating effect from chemical peeling, others declare the danger of such skin manifestations. I am inclined to believe that the effect of "frost" - this is a kind of rudiment of aesthetic medicine and, of course, a rejuvenating effect can be achieved without it. "Frost" carries a long recovery period with "crusts" and peeling. After such procedures, patients do not leave the house for a long time and use powerful sunscreens for a very long time. In 2018, kick patients out of society for several weeks – it is "an unaffordable luxury".
Features of non-invasive derma stimulator in comparison with traditional chemical peelingChemical peel manufacturers have learned how to shorten the recovery period and reduce the aggressive effects of high concentrations of acids by adding buffer systems. Although this reduces the risk of side effects, the acid concentration also drops significantly. Above, we have already found out that a certain percentage concentration of acid is necessary to reach the papillary dermis, so the addition of buffer bases is contrary to the doctor's goals. At some point, technologists and chemists faced the question: how to reduce the aggressive effect of peeling and at the same time not affect the acid concentration?
The answer came to us from Italy. Company «WIQO med» led by Rosana Castellana, developed a formula based on the TCA molecule (33%), hydrogen peroxide (up to 1.3%) and kojic acid (5%).
Product PRX-T33 presented to our doctors by
Ukrainian Aesthetics cannot be called just a peel. First, because it does not exfoliate like a traditional chemical peel.
Secondly, it is not trichloroacetic acid that plays the main role in PRX-T33. All components equally perform certain functions to achieve the same goal – rejuvenating effect.• Trichloroacetic acid (33%): activates the hormonal response regardless of the hypothalamic-pituitary axis. In the course of controlled inflammation, an active release of pro-inflammatory cytokines begins, due to which, in the course of a biochemical reaction, beta-endorphins, adrenocorticotropic and melanostimulating hormones are released. This promotes the proliferation of fibroblasts and keratinocytes and increases cell renewal.
• Hydrogen peroxide (1.3%): acts as an enhancer of the action of trichloroacetic acid and its neutralizer in the epidermis. This reduces the aggressive effect of the acid, but does not change its activity and concentration.
• Kojic acid (5%): plays an active role in the inhibition of post-inflammatory hyperpigmentation.
A huge plus of the procedure lies in its complexity. After peeling PRX-T33, after 8 hours you can do biorevitalization or mesotherapy.
Note that the product itself already performs the role of a biorevitalizant due to the activation of growth factors and glycosaminoglycans. Therefore, PRX-T33 cannot be called a peeling in the traditional sense, rather it is a non-invasive dermal stimulator.
Today, there are very few products that can perform several functions at once, be complex and at the same time safe. The non-invasive dermal stimulator PRX-T33, presented by

Add a comment