Virtually every woman is familiar with the term "cervical erosion" today. Among girls of reproductive age, it is erroneously considered that this is not a dangerous gynecological disease, which often does not require urgent surgical intervention. Many women live for years with an unidentified diagnosis, and the disease is detected only during a routine examination, or by visiting a doctor, due to the appearance of the first symptoms of an associated comorbidity. But not every woman knows what pseudo-erosion, or cervical ectopia, is, why it is dangerous and why its timely detection and treatment is so important.

What is the difference between true cervical erosion and ectopia?

It is customary to call a true erosion a defect in the stratified squamous epithelium, which is located on the vaginal part of the cervix. True erosion occurs under the influence of inflammatory processes leading to necrobiosis of the squamous epithelium in the acidic environment of the vagina and its desquamation from the underlying membrane, often after mechanical damage. In this case, the basal layer of cells is completely or partially preserved and tends to regenerate. True erosion exists for a maximum of two weeks, and in itself does not give any clinical picture. The first symptoms of the disease can occur only when an inflammatory disease of a different localization is attached, for example, with colpitis or exocervicitis. Treatment of true erosion is aimed primarily at eliminating the infectious agent and restoring the natural microflora of the vagina.

Pseudo-erosion of the cervix: classification and etiology

With ectopia, the following changes occur: true erosion is epithelialized, while the cylindrical epithelium is displaced to the vaginal part of the cervix. There are congenital and acquired pseudo-erosion. Congenital ectopia occurs as a result of the influence of mother's hormones on the fetus in the prenatal period. This pathology does not require specific treatment - only constant monitoring.

In the development of acquired ectopia of the cervix, the leading role is played by such factors as inflammatory diseases, mechanical injuries, as well as hormonal disorders. As a result of the inflammatory process, the loose, damaged epithelium of the cervix can be locally exfoliated in case of mechanical damage. In the presence of hormonal disorders, subsequently a cylindrical epithelium is formed, which replaces the stratified squamous. The greatest danger in this condition is the likelihood of degeneration of the cylindrical epithelium into squamous metaplasia, which, subsequently, can lead to the development of a malignant process of the cervix. That is why it is so important to identify and treat pseudo-erosion in time.

psevdoeroziya-shejki-matki-pochemu-psevdo-i-kak-eto-lechit

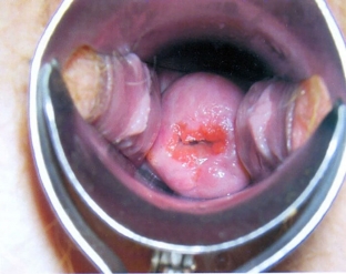
Clinical picture and diagnostic methods of pseudo-erosion

Clinically, ectopia, as a rule, does not manifest itself in any way. In the presence of concomitant exo - or endocervicitis, patients may complain of the presence of whitish discharge or light bleeding, which often occurs after intercourse. For the diagnosis of pseudo-erosion, special methods are used. During a routine gynecological examination, the ectopic area is visualized as an irregularly shaped, bright red spot, which is located against the background of the pale mucous membrane of the cervix. With colposcopy, you can see areas covered with rounded or oblong red papillae - the so-called velvety surface. Sometimes the picture can be supplemented by open and closed gland ducts, metaplastic and immature stratified squamous epithelium, which already represents the “transformation zone”.

Treatment tactics for a patient with pseudo-erosion of the cervix

In the case of uncomplicated pseudo-erosion, regular monitoring with colposcopic and cytological examination is necessary. When an infectious process is attached, antibiotic therapy is prescribed, taking into account the resistance of the pathogen to drugs. With the timely elimination of the infectious agent, further treatment of the altered area may not be necessary. In the presence of dyshormonal pathology, an individually selected correction of the patient's hormonal background is necessary.

Surgical treatment is necessary when the epithelialization process is extensive, covers a large area, the transformation zone is visualized colposcopically, as well as if conservative treatment has been ineffective. In the treatment of ectopia, cryodestruction, laser coagulation, radiosurgical treatment or diathermocoagulation are used. The choice of the method of surgical treatment is based on the history of the disease, as well as the gynecological history of each individual patient.

The issue of treating pseudo-erosion should be approached with all seriousness, since insufficient concern for such a condition can subsequently lead to the development of a serious oncological pathology. The patient's awareness of her attentive attitude to her women's health, as well as timely preventive visits to the gynecologist will help prevent the occurrence of pseudo-erosion of the cervix, and complications associated with this condition.

Add a comment

captcha

RefreshRefresh