Being a natural bar'er, shkira vikonu smomiti a number of uzgodzhenih diy, directing to protect the body from stress, improve homeostasis and constantly update the dermo-epidermal clitin. The main signs of age-old changes in the skin are the improvement of wounds, the improvement of depression of evil rebirth, the development of the laxity of structures. Prevention and treatment of anti-age therapy based on a deep understanding of the main processes of rehabilitation and dysfunction in the key components of the skin. For a long time, the old times and the inner turmoil were seen as virishal in the process of antiquity and only recently were discovered molecular mechanisms, which play a vital role in the work and the oval manifestations of changes in the scales, which are of age.
A large part of age-related changes are regulated by the accumulation of small molecules and organelles, a number of which are regulated by autophagy processes. Genomic instability, sensitivity to life-threatening speech, stimulation of the synthesis and breakdown of the internal cellular protein activate autophagy, porcupines are an indispensable process in maintaining homeostasis of the skin and inspired chemical processes in young people.
Activation of the autophagic process: clinical studies
Author
Anastasia Sviridova - medical director of Adassa Medical Clinic (Dnipro), dermatologist, cosmetologist, certified trainer of Sinclair Pharma, certified trainer of the international class EMET Medicine, member of IACM (International Association of Aesthetic Cosmetology and Mesotherapy)

Autophagy is a natural process of intracellular overetching of the cellular cytoplasmic material in the middle of lysosomes or vacuoles.
There are three main mechanisms, for the help of which there are processes of self-recovery. In case of microautophagy, lysosomes are transformed into damaged cells of cellular membranes and defective organelles. Macroautophagy is based on the overetching of mitochondria and ribosomes by the pathway of the cytopasmic node of autophagosomes with distant junctions with lysosome and lysis together. In chaperone autophagy, which is typical only for savts, poshkodzheni and often denaturated proteins are directed directly to the lysosomes, destructed by the corresponding enzymes. Autophagic processes are stimulated by stress, such as physical stress and starvation, and often lie in the genetic features of the activity of genes, as a stimulant or ignore all the main stages of self-purification. Also, the vision of internal genes that regulate autophagy, lie in circadian rhythms and forever.
A great number of clinical studies have brought two main points to the injection of autophagy into the old days:
- autophagy significantly reduces the frequency of old clitin
- activity of autophagic processes decreases with age
Most of the foreign articles brought inflow of autophagy on Stovbur cells. These clitins-peredniks, like resting at the camp of calm, require self-purification processes, to improve internal clitin homeostasis and building up new highly differentiated clitin. The process itself can be connected with normal regeneration, and, therefore, with renewal of the skin. Disruption of autophagic processes can be caused to the accumulation of secondary, other toxic components and energy crisis of cells.
The only drug that can activate and support all stages of the autophagic process is to establish the effectiveness of clitin shkiri, improve myocardial immunity and protizapalnoy effect, provide sufficient caloric intake (Corban Energy). The price of innovative cosmetic technology from the laboratory ABG LAB (USA), zavdyaky can take away the guarantees of the visible effect of the revitalization and the reduction of the skin will become already on the 4th day after the application, as well as the worst procedural effects.
On the basis of the private cosmetology center Adassa Medical Clinic, a post-marketing clinical trial was carried out to test the effectiveness and safety of the treatment of permanent changes in the skin in folding cosmetic procedures for the support of the injectable drug Corebanic . 4 patients with different types of century-old changes took part in the study. All stinks took individual schemes of rejuvenation of the upper and lower jaw zones.
Criteria for inclusion of patients in follow-up:
- The presence of age-old changes in the shkir, tobto indication before therapy
- The need for patients to take part in the completed, confirmed signed protocol of voluntary informed aid
Criteria for exclusion of patients from follow-up
- Somatic disease in the stage of decompensation
- Severe infectious disease at the time of the procedures
- Intolerance to the components of the drug
- Namir otrimati be-yakі іnshі kosmetichіchі manіpulyatsії pіd hour course
Patient 1 , 69 years old, wrinkled old type, change of ligament apparatus, loss of turgor and elasticity of the scales, low response to stimulating cosmetic procedures
She took monotherapy with Corebanik, 2 ml per 3 procedures with a difference of 14 days. The injections were carried out in the deep dermis until a hump appeared on the 1 cm gap. The results of the procedure included photodocumentation, subjective assessment of the patient and an objective assessment of the follow-up perforator biopsy of the dermis before the first day of administration of the drug. The follow-up results were carried out 14 days after the last admission.
Subjective assessment of the patient according to a five-point scale of patient satisfaction, de 1 not more than satisfied and 5 more than satisfied, scored 5.

The instrumental diagnostics was carried out by the pathological examination of the results of the biopsy of the shkir, which was taken by the path of punch-biopsy in the subcutaneous region.
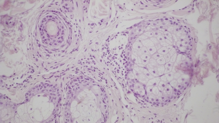
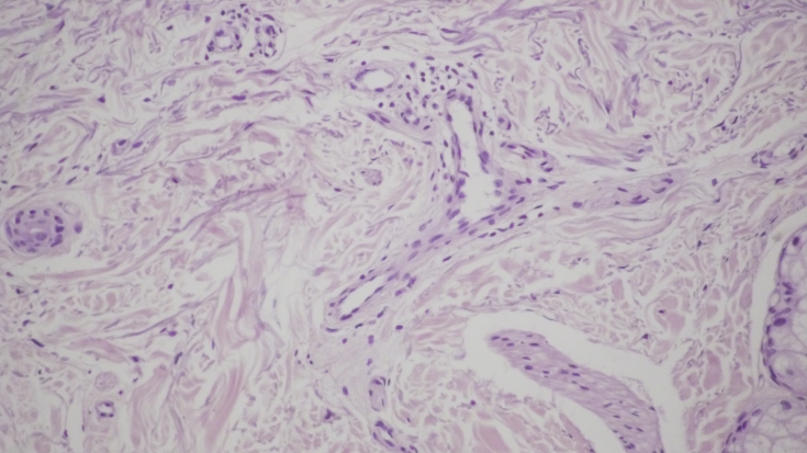
During the control histological preparation of the shkiri, before the jubilant visits, there was a signifi- cantly pronounced ignition in the dermis of the follicle crowd of lymphocytes and histiocytes. (small 1a, b). Proliferation of other vessels of the capillary and sinusoidal type was accompanied by perivascular lymphocellular infiltration (mal. 1c). In about a few hair follicles and sebaceous follicles, the ignition infiltration stimulated the proliferation of fibroblasts and the development of sclerotic processes. (small 1d).


Mal. 1. Morphological picture of the shkіri before the merry visits: flare fuse of the dermis, x200; igniter infection in the hair follicles, signs of fibrosis, x200; proliferation of other vessels of the capillary type with perivascular lymphoid-clitin infiltration, x200; sebaceous follicles with inflamed inflammation in the adjoining dermis, x200.
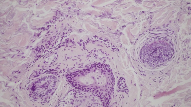
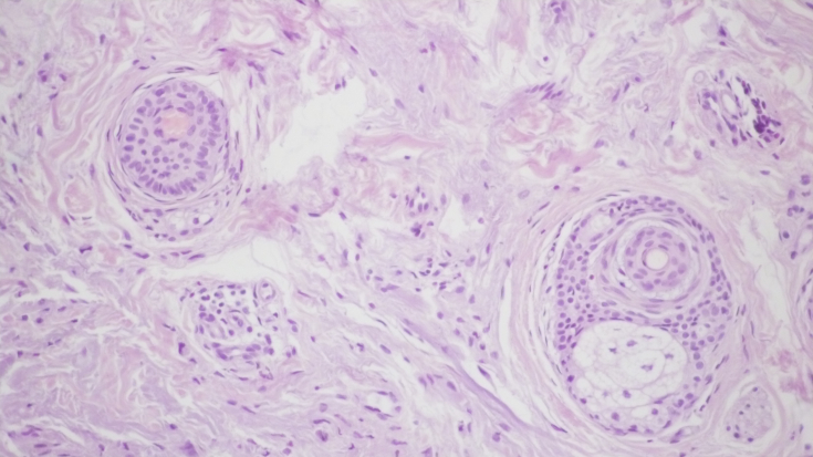
In a small number of patients after monotherapy with a peptide preparation, a significant decrease in igniter infiltration was observed (small 2a, b). There was an insignificant, predominantly perivascular lymphatic infiltration of the clitin, later there were also complexes of ignition elements, rotting of the appendages of the skin.


Mal. 2. Morphological picture of the skin after the introduction of the peptide preparation: the ignition of the dermis is less pronounced, x200; in dermal capillaries with mild perivascular lymphoid-clitin infiltration, x200.
Patient 2 , 60 years old. Vtomlei morphotype is old, after endoscopic SMAS-lifting in 2008. Changes in the microcirculation system, turgor of the skin, manifestations of oxidative stress in the skin.
Therapeutic infusion regimens included three times the procedure of micro-acullar radio-needle lifting on the Infini 1,2, Lutronic devices with a frequency of 1 time per 28-32 days and three times the introduction of the drug Corebanic after 13-16 days at the time of the primary procedure and the second technical skin injection papules.
The results of follow-up were carried out 14 days after the last introduction of a subjective assessment, photographic documentation and instrumental diagnostics.
– pathohistochemical follow-up and matching of biopsies of shkir, taken by panch
– a biopsy in the subscapular area before the procedures, on the collarbone after a three-time treatment with radiofrequency technol- ogy on the other part of the collarbone, and de-stopping radiofrequency technol- ogy in the last dose of the drug.
Subjective assessment of the patient according to the five-point scale of patient satisfaction, de 1 not completely satisfied and 5 completely satisfied, made 5
In the photo before and after the positive change is richer, lower at the same time with monotherapy.

Following the data of the instrumental investigation, in the combination scheme of the apparatus-infection effect, a lymphoid-clitinic dermis infiltration appeared, which indicates the synergy of the two methods in the scheme of the complex anti-age solution for the eyelids.

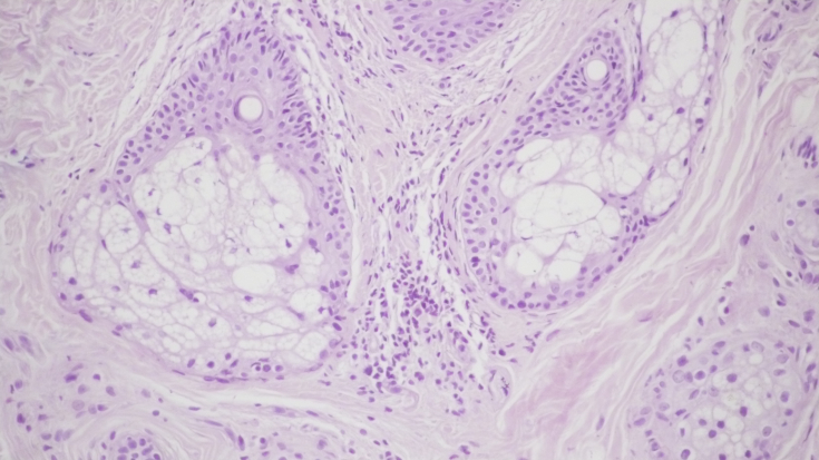
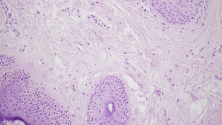
Mal. 3. Morphological picture of the shkiri before the jubilant visits: the dermal inflammation of the dermis is pronounced, x200; igniter infection in the hair follicles, signs of fibrosis, x200; proliferation of other vessels of the capillary type with perivascular lymphoid-clitin infiltration, x200;

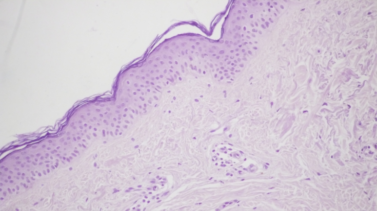
Mal.4. Isolation of radio waves poured into the skin. Preservation of igniter elements against the background of a decrease in lymphoid-clitinous dermis infiltrate with inflamed proliferation of fibroblasts, x200.

Mal.5. Combination of the introduction of a peptide preparation and a radiofrequency injection on the skin. The presence of lymphoid-clitinous infiltration of the dermis with fibroblast proliferation, x200.
Patient 3 , 59 years old, deformity-swelling type, expressions, swelling syndrome, metabolic syndrome
Aesthetic correction of the thoracic and subcranial areas was carried out using a complex method, which was performed using a carbon dioxide laser with a chinknot of 10600 nm with a frequency of 1 time in 28-32 days and a three-time injection of the drug Corebanic after 13-16 days after the dermal apical papillary injection. The result of the follow-up was assessed by the subjective method and photo documentation.
According to the observations of the patient, the skin after the combined technique of using the carbon dioxide laser and the Corebanic preparation is small, the patient looks more uplifted, the patient observes the tone, swelling, lifting of the soft tissues and the equal color of the epidermis.
The subjective assessment of the patient on a five-point scale of patient satisfaction, de 1 satisfaction is not equal and 5 satisfaction is greater, added up a maximum of 5 points.
Assessing the results of the correction from the photo, you can clearly see the increase in the thickness of the skins, the change in the depth of the creases and the transverse seams.

Patient 4 , 72 years old, changes in the old type, manifestations of involutional changes in the skin, viscous apparatus, brushes and mucus, low response to stimulating apparatus procedures.
Therapeutic schemes included three times treatment with a 2940-nm erbium laser in a non-ablative regimen with a frequency of 1 time in 28-32 days and a three-time injection of Corebanic 13-16 days after skin injection in the technique of inner papular papules.
In parallel with the exaltation, the patient took rare forms of collagen and controlled a large amount of protein in the diet.
The result of the follow-up was evaluated by the subjective method and photo documentation 30 days after the end of the program.
According to the observations of the patient, visible changes were taken after subcutaneous infusion of the peptide preparation Corebanic and a one-time apparatus warm-up. The maximum effect, which had a slight effect on the increased tone of the skin, її zoromy indentation, was eliminated three days after the completion of the course of procedures. This effect is remembered for the degree of severity in the earlier seen apparatus procedures, which play out the middle balls of the dermis.
Judging from the photo of the reworked cases, one can clearly see the positive changes in the scales, regardless of the evolutionary process, depending on the age of the patient.

Activation of the autophagic process: what effect is essential
Also, in summary, it is possible to add, that invasive, rejuvenating procedures that damage the integrity of the skin, in fact, are a stress factor, so that in order to eliminate the overall result in case of these vices, it is necessary to cleanse the system, which is important The peptide drug Corebanic helps to normalize autophagy, improve skin preparation and enhance the effect of apparatus procedures aimed at rejuvenation. This has been clearly shown in scientific studies, that when the drug is isolated, the inflammation factor in the skin significantly decreases, which correlates with the signs of antiquity. Tse allows you to recommend this drug for monotherapy or the first stage of complex rejuvenation in all types of old age with a different stage. Tse allows you to recommend this drug for monotherapy or the first stage of complex rejuvenation in all types of old age with a different stage. manifestation of the regenerative potential of clitin shkiri.
The recent introduction of Corebanic with laser and radiofrequency technologies made it possible to reliably show the potency of the drug by hardware methods, which is due to the timely cleansing of the cells and more correct recommendations after laser procedures.
The factor of patient satisfaction having taken into account the most important assessment, which is the most important factor in the success of any procedure in aesthetic medicine.
Add a comment