Teeth in animals, fish change throughout life. Human dental set – milk and molars teeth. We lose the first ones in childhood, this is not a terrible loss, but a natural physiological process. In their place, indigenous people grow up, the loss of which is more serious and significant. Injuries of teeth – violation of their integrity, functionality, form. Such damage is not related to the current disease or heredity. Treatment involves surgery or conservative restoration.
The editors of estet-portal.com will tell about the classifications of dental injuries and the causes of their appearance.
- Types of dental injuries and their symptoms
- Treatment methods for dental trauma
- What to do if the injury of the teeth happened to the child
Types of dental injuries and their symptoms
Mechanical damage to the tooth can be chronic and acute. First type – These are damages received by accidents, blows, bruises. Second – defects due to which the tissues of the teeth are systematically injured during the reduction of the jaws. There are chances of getting injured during dental treatment, for example, during tooth extraction.
Subscribe to our page in Instagram!
There are temporary and permanent violations of the integrity of the teeth. Permanent injuries include bruises and dislocations, fractures of crowns.
1. Bruise
– tissue integrity is not violated, closed injury. Aching pain is felt, when pressed it intensifies. Due to internal hemorrhage, the tissues and the dental crown acquire a bluish color. The unwillingness to go to the dentist in case of injury entails more serious consequences when the tooth is no longer subject to restoration.
2. Dislocation
– a more complex view, there is tooth mobility, loss from the hole. With partial dislocation, the tissues are partially torn, the main task is to properly fix the tooth. Full – severe pain is felt, the gum bleeds profusely, the tissues are completely torn. Hospitalization is required, as first aid – place the tooth in the hole where it fell out. With an impacted dislocation, the tooth goes far into the hole.
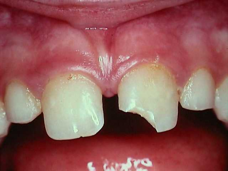
3. Fracture
– root fracture, damage to the integrity of the pulp. The sharp edges of a broken tooth scratch the mucous membrane of the mouth, cheeks, and tongue. During biting, a sharp sharp pain is felt that does not go away. An immediate appeal to a doctor who will conduct endodontic diagnostics is required.
Teeth whitening at
at home Hospitalization is required, as first aid – place the tooth in the hole where it fell out. With an impacted dislocation, the tooth goes far into the hole.
Teeth whitening at
Hospitalization is required, as first aid – place the tooth in the hole where it fell out. With an impacted dislocation, the tooth goes far into the hole.
3. Fracture
– root fracture, damage to the integrity of the pulp. The sharp edges of a broken tooth scratch the mucous membrane of the mouth, cheeks, and tongue. During biting, a sharp sharp pain is felt that does not go away. An immediate appeal to a doctor who will conduct endodontic diagnostics is required.
Teeth whitening at

Teeth whitening at
at home xxxx>3. Fracture – root fracture, damage to the integrity of the pulp. The sharp edges of a broken tooth scratch the mucous membrane of the mouth, cheeks, and tongue. During biting, a sharp sharp pain is felt that does not go away. An immediate appeal to a doctor who will conduct endodontic diagnostics is required.
Teeth whitening at
at home

Methods of treatment for dental injuries
When diagnosing a bruised tooth, any load is prohibited for up to 3 weeks. Anti-inflammatory drugs are prescribed to avoid tissue inflammation. If the tooth has acquired a dark shade, an x-ray is taken to assess damage to the pulp. The presence of external and internal damage – this is a direct reason to install a crown or veneers.
In case of dislocation, it will be necessary to replace the affected tooth with a prosthesis. With a partial defect, special caps are used. Antibacterial and anti-inflammatory therapy is carried out. Incomplete dislocation is accompanied by such complications as the expansion of the dental canals, root cyst, periodontitis.
In case of a minor fracture, a filling is placed. For more severe damage, orthodontic treatment and a crown will be required. When the root is injured, it is removed, and an implant is placed in its place. Complications are periodontitis, stomatitis, pulpitis.In case of dental injuries of varying degrees, it is recommended to seek help from a dentist as soon as possible. Depending on the severity of the damage, you will be prescribed treatment and oral care. Prevention of dental injuries consists in the correct and safe lifestyle of a person. All safety equipment must be worn when working in hazardous work environments. Athletes are advised to wear mouthguards and a safety helmet every time.
Read also Mouthguards for teeth alignment as a way to eliminate<
What to do if a child has a dental injury Acute dental injuries – it is always some particular physical influence on him. A strong blow to the maxillofacial region, a fall. Chronic defects occur due to constant traumatic impact on the teeth. For example, the habit of biting nails or objects. If you do this systematically, then the enamel becomes thinner, and the tooth is slowly destroyed. Damage occurs even under circumstances where you have bitten something slightly harder than usual. Incorrect bite increases the risk of injury, especially the front upper incisors. Peculiarities of using different types of dental implantsSuch injuries are not uncommon in children. The risk of losing a tooth due to trauma is highest at the age of 8-10 years. A knocked out milk tooth cannot be restored. But a broken one is likely to be saved. If your baby has a broken tooth, then:• remember the exact time of the incident so that you can tell the doctor later;• find the tooth or its broken part, rinse with water;• place in saline or milk, not water;• go to the hospital with the rest of the tooth, it is important to do this in the first 2 hours, the less time has passed since the injury, the more chances for a happy outcome / < Timeliness and security – basic principles of dental health. Be sure to visit the dentist every six months as a preventive measure. And immediately – in case of emergency injuries, when you suspect dental trauma.Osteomyelitis of the jaw – how to detect the disease in time Watch us on YouTube:
Add a comment