Dazzling smile — every person's dream. To achieve it, enamel whitening is usually used, but there is another option. These are skys — rhinestones for teeth made of precious stones, metals, glass. They can have different shapes — round, drop-shaped, asterisk or heart. Installing such a decoration — dental procedure. The pebble lasts for a long time, does not interfere with food intake. The editors of estet-portal.com will talk about the features of jewelry, the installation procedure, indications and contraindications, and care features.
- Skys: what are the types of jewelry
- How the skyce installation process works
- When you can and when you can not install skys
- What what is proper care skyce
- Briefly about the main thing: what are skyces and how install them
Skys: what are the types of jewelry
You might think that — These are exclusively precious stones. But it's not so. They are made from crystal, glass, Swarovski stones. Thanks to the special cut, the glass jewelry looks like a precious stone. Of course, the most expensive ones are really made from rubies, diamonds, sapphires.
Product sizes are also different — from 1 mm to 5 mm. They are made flat, so the decoration will not protrude above the surface of the tooth. For production, a special cutting technology is used, which makes the skys shine, — it doesn't matter what material they are made of.
Read also: Skyce tooth — decorating your smile with dental inlay
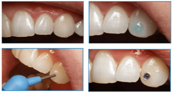
How does the skyce installation process work
The method of installing a shiny jewelry on tooth depends on the state of its enamel. If it is healthy, then the pebble is planted on special glue, if damaged — then inlaid in its surface. In the case of glue, the procedure will only take 15 minutes.

If you want to decorate your tooth with a precious stone, then you need to install it only in enamel. Before installation, the specialist will prepare the enamel — polishes and disinfects. It is fixed in deepening with the help of filling material.
Which tooth to set the jewelry? Canines, lateral or central incisors are usually chosen. A specific tooth for inlay can be selected together with doctor — it all depends on the personal characteristics of each person.
People who put skyce on teeth note that they got used to new jewelry easily. Already after a couple of hours they stopped paying attention to the pebble, as if it had become part of the tooth. Install and "remove "glitter" only a dentist should. It is possible to remove the skys when you come in, — don't need to wait until its expiration date.
When you can and when you can not put skys
Since the crystal is actually located in the oral cavity on the enamel surface, it needs to take into account possible contraindications to installation. Despite the fact that this procedure is done more for beauty, the skys have their indications:
-
stains on enamel;
-
hypoplasia or erosion of the enamel;
-
Visible defects on tooth surfaces.
Read also: Erosion of tooth enamel — symptoms, recovery and prevention
And here, a contraindication would be allergy to metals, pathology of bite, and also age up to twelve years. In other cases, you can, without consequences, decide on a dazzling smile, thanks to a small crystal!
Skyce can be easily installed not only in native” tooth, but also in veneers or crowns.
Read also: The radiance of a smile — Are Skyses harmful? What what is proper care skyce
In order for the jewelry to last a long time and decorate your smile, you need to properly care for it. In general, there are no special recommendations here, everything is standard:clean the dentition with a regular brush, paste;
-
use dental floss to clean gaps between teeth; -
Go to a dental check-up at least twice a year. -
A here chew solid food — crackers, nuts, hard sweets, etc. — not recommended. This can damage the skyce. If we talk about how long it will last on the enamel surface, then stomatologists usually call it up to two years. they promise the safety of skys for 4 years. Of course, this is only possible if the fasteners of the crystal were made by a specialist, and you provided proper care. Over time, the shiny surface may fade — then you have to replace the skyce.
Read also:
Why do you need dental floss — terms of useBriefly about the main thing: what are skyces and how install them
Skys — jewelry for teeth made of precious, semi-precious stones, crystal or glass, Swarovski crystals. Their special cut makes each stone sparkling — regardless of the material from which it is made. Install the decoration in two ways — on glue (without damaging the enamel) and with inlay.Since the stones are flat, they do not protrude much above the surface of the tooth, do not interfere with eating. There is no special care for them — just keep brushing your teeth 2 times a day, rinsing your mouth after meals, flossing. This decoration will last up to 2 years. If you get bored — it can be removed or replaced at any time by contacting a stomatologist.
Read also:
Major mistakes when caring teethYou might be interested in: How to place a filling.
Add a comment